Logo Georg Thieme VerlagLogo Georg Thieme VerlagLogo Georg Thieme VerlagLogo Georg Thieme Verlag
Natürlich Medizin!
Logo Georg Thieme VerlagLogo Georg Thieme VerlagLogo Georg Thieme VerlagLogo Georg Thieme Verlag
Natürlich Medizin!
  • Nachrichten
  • Blog
  • Podcast
  • Natürlich gesund
  • Rezepte
  • Heilpflanzen
  • Menü
  • Mein Konto
  • Suchen
Start
AktuellesUntermenü aufklappen
News aus der Komplementärmedizin
Naturheilkundliche Forschung
Komplementärmedizin in den Leitlinien
Personalia / Interviews
Veranstaltungsberichte
Termine
Themen
TherapieverfahrenUntermenü aufklappen
Akupunktur
Aromatherapie
Ayurveda
Bewegung
Ernährung
Psyche
Nährstofftherapie
Naturheilverfahren
Phytotherapie
Prävention
SpezialthemenUntermenü aufklappen
Allergie
Atemwegserkrankungen
Chronisch entzündliche Darmerkrankungen
Darm und Darmmikrobiom
Erschöpfung
Hauterkrankungen
Immunsystem
Kopfschmerzen
Lebererkrankungen
Onkologie
Rückenschmerz
Schlafstörungen
Schmerzen
Sommer-Spezial
Tinnitus
Wechseljahresbeschwerden
BlogUntermenü aufklappen
Johanna Zielinski
Daniela Oltersdorf
Arndt Fengler
Peter Niemann
Natürlich gesundUntermenü aufklappen
Bewegung
Ernährung
Entspannung
Gesunder Körper
Spiraldynamik Spezial
Gesund kochenUntermenü aufklappen
Suchen
HeilpflanzenUntermenü aufklappen
Pflanzenküche
Pflanzenheilkunde
Autor*innen
Mehr zum Thema Phytotherapie
Podcast
ServiceUntermenü aufklappen
KontaktUntermenü aufklappen
Bestätigung
Impressum
Datenschutzerklärung
Suchen
NutzerUntermenü aufklappen
Registrieren
Login
Mediadaten
MarktspotsUntermenü aufklappen
Produktmeldungen
Advertorials
  • Registrieren
  • Login
  1. Integrative Medizin
  2. Themen
  3. Long Covid

Thema: Long Covid

Kleines Mädchen im Bett, Mutter misst Fieber
Suzi Media/stock.adobe.com - Stockphoto. Posed by a Model.

PIMSUrsache für Entzündungsschock bei Kindern nach Corona-Infektion

In seltenen Fällen erkranken Kinder Wochen nach der akuten Corona-Infektion, auch wenn sie mild verlief. Forschende haben nun möglicherweise die Ursache gefunden.

Weiterlesen...

Porträtfoto: Robert Schmidt
Krankenhaus für Naturheilweisen, KfN

Naturheilkunde bei Long Covid"Es geht nicht um einen kurzfristigen Erholungseffekt"

Was bringt eine naturheilkundliche Komplexbehandlung bei Long Covid? Wir haben mit Robert Schmidt vom Krankenhaus für Naturheilweisen gesprochen.

Weiterlesen...

Illustration: farbige Coronaviren im Weltraum
Romolo Tavani/stock.adobe.com

Long CovidNaturheilkundliche Komplexbehandlung verbessert Long-Covid-Symptome

Die Komplexbehandlung zeigt positive und nachhaltige Effekte auf Symptome und Lebensqualität bei Long-/Post-Covid. Das zeigt eine Beobachtungsstudie aus dem Münchner Krankenhaus für Naturheilweisen.

Weiterlesen...

Grafik: Coronavirus, Viruszellen, Antikörper
bittedankeschön/stock.adobe.com

Post-COVIDMikro-Veränderungen im Gehirn bei Post-COVID-Patient*innen

Forschende konnten im MRT Veränderungen in zerebralen Netzwerken nachweisen, die mit der Infektionsschwere und den Symptomen korrelieren.

Weiterlesen...

Long Covid: Schriftzug auf rosa Hintergrund
Jesse/stock.adobe.com

Long-/Post-Covid2 Neue Long-/Post-Covid-Ambulanzen in Niedersachsen eingerichtet

In Hannover und Göttingen wurden 2 neue Anlaufstellen für Long-COVID-Erkrankungen eingerichtet. Haus- und Fachärzte stellen die Vordiagnose und übernehmen die Anmeldung.

Weiterlesen...

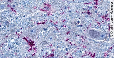
Ausschnitt aus dem Hirnstamm: Nervenzellen (graublau) stehen eng mit hirneigenen Immunzellen (lila)
Charité/Jenny Meinhardt

COVID 19Entzündungsreaktion als Ursache für neurologische Symptome wahrscheinlich

Wie kommen neurologische Symptome bei COVID-19 zustande? Eine Studie der Charité liefert Belege für die These, dass die Beschwerden eine Folge der Entzündung im Rest des Körpers sind.

Weiterlesen...

gebeugt sitzender Mann vor einer Leinwand mit Coronaviren
Antonio_22/stock.adobe.com

Post-COVIDWelche Faktoren erhöhen das Post-COVID-Risiko?

Weibliches Geschlecht, höheres Alter, hoher BMI und Komorbiditäten erhöhen das Risiko, Post-COVID zu entwickeln. Geimpfte haben ein signifikant geringeres Risiko als Ungeimpfte.

Weiterlesen...

Coronavirus auf rot-blauem Hintergrund
MiaStendal/stock.adobe.com

CoronavirusPost-COVID: Naturheilkundliche Therapie am Berliner Immanuel Krankenhaus

Für Menschen mit Post-COVID und Fatigue hat die Tagesklinik Naturheilkunde die Therapieeinheiten ihres bewährten Programms angepasst.

Weiterlesen...

Arzt hält Klemmbrett unter dem Arm mit der Aufschrift "Long Covid"
MQ-Illustrations / stock.adobe.c

Long COVIDHaben Allergiker*innen ein erhöhtes Long-COVID-Risiko?

Der Zusammenhang zwischen Allergien und Long-COVID ist nach wie vor unklar. Das liegt auch an der noch zu ungenauen Definition von Long COVID in den Studien.

Weiterlesen...

Post Covid Syndrom: Symbolbild mit 5 Glühbirnen, eine davon gelb und Untertitel Post-Covid-Syndrom
magele-picture/stock.adobe.com

Post-COVIDRollende Post-COVID-Ambulanz in Thüringen

Ab sofort fährt der Bus des WATCH-Projektes als mobile POST-COVID-Ambulanz durch Thüringen. Ziel ist eine bessere Versorgung für Post-COVID-Betroffene im ländlichen Raum.

Weiterlesen...

Spritze auf hellem Hintergrund
K. Oborny/Thieme

Corona-VirusCoronaimpfung könnte auch vor Long COVID schützen

Coronaimpfungen haben möglicherweise auch Schutzeffekte vor Long/Post-COVID, so eine neue Studie. Bei Geimpften normalisierten sich die Vitaldaten nach einer SARS-CoV-2-Infektion rascher.

Weiterlesen...

Rosenwurz (Rhodiola rosea) in der schwedischen Natur
Lukas/stock.adobe.com

InterviewKann die Phytotherapie Long-/Post-Covid-Patient*innen helfen?

„Meiner Erfahrung nach sind viele Long-/Post-Covid-Patient*innen dankbar, wenn sie überhaupt etwas versuchen können“, sagt die Phytotherapie-Expertin Prof. Karin Kraft.

Weiterlesen...

Symbolbild Integrative Medizin: Schreibtisch mit Laptop, Stethoskop, im Hintergrund Plakat mit TCM-Meridianen
K. Oborny/Thieme

Post-COVIDIntegrativmedizinische Post-COVID-Sprechstunde in Essen

Die Klinik für Naturheilkunde & Integrative Medizin in Essen bietet ab sofort eine Sprechstunde für Post-COVID-Patient*innen an.

Weiterlesen...

Rhodiola rosea
spline_x/stock.adobe.com

Long COVIDWelche Optionen bieten Phyto- und Nährstofftherapie bei Long COVID?

Ginseng, Süßholzwurzel und Rosenwurz können als Therapieoption in Betracht gezogen werden, berichtete Phytotherapie-Expertin Prof. Karin Kraft auf dem Internistenkongress.

Weiterlesen...

Frau hält Arme gekreuzt auf dem Brustbein, Atemnot
SENTELLO/stock.adobe.com; Stockfoto - Posed by a model.

Long CovidAtemnot nach COVID-19 durch Zwerchfellschwäche

Forscher*innen haben eine Beeinträchtigung des Zwerchfellmuskels als mögliche Ursache für anhaltende Atemnot nach COVID-19 identifiziert. Ein Atemmuskeltraining könnte helfen.

Weiterlesen...

    • 1
    • 2

Newsletter

Grafik: Computerbildschirm mit Newslettersymbol.

Nachrichten aus der Komplementärmedizin direkt in Ihr Postfach.

Zur Anmeldung

Meist gelesen

Nackenschmerzen: 3 mal 3 gegen Nackenschmerzen: Aktiv gegen Quälgeister im Genick

Immunsystem: Grippesaison: Warum Bewegung jetzt besonders wichtig ist – und wann nicht

Prädiabetes: Remission von Prädiabetes halbiert Risiken fürs Herz

Heilpflanzenporträt: Psilocybe mexicana R. Heim – Mexikanischer Kahlkopf

Mikrobiom: Die Gelbwurz und das Darmmikrobiom: eine Liebesgeschichte

  • Kontakt
  • Impressum
  • Datenschutzerklärung
  • Mediadaten
  • Newsletter

Logo Thieme Group

Logo Thieme Group

© 2025 Thieme Group